
Coroas de Cerâmica & Onlays
Resistência, Durabilidade e Estética
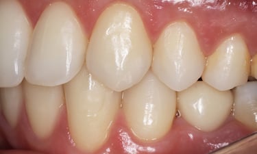
Soluções modernas e eficazes para recuperar dentes comprometidos por cáries, desgaste e fraturas. Esses procedimentos preservam a estrutura dental saudável devolvendo a funcionalidade, durabilidade, estética e segurança ao seu sorriso.
Sorriso renovado com perfeição e harmonia!





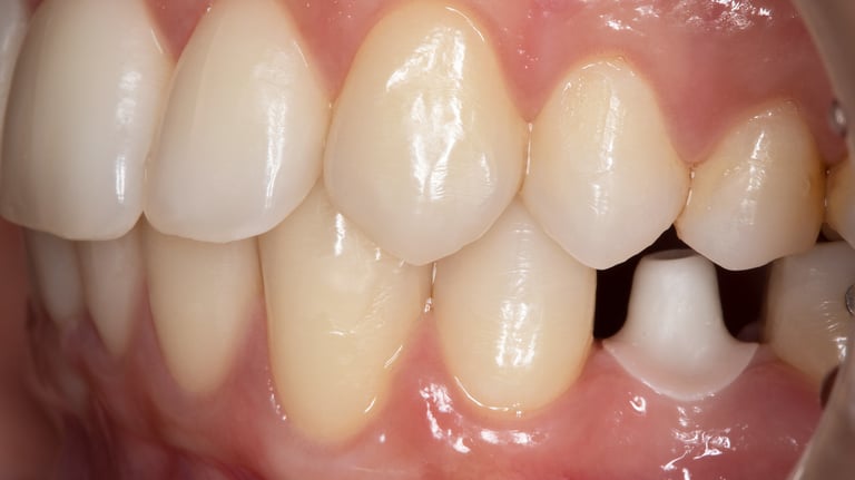
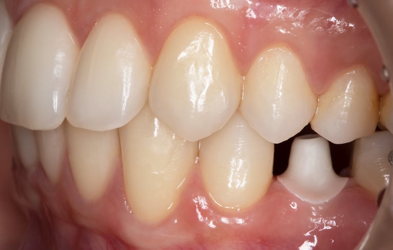
O protocolo de zircônia é indicado em casos de reabilitação total ou parcial, especialmente quando há dentes escurecidos por canal, necessidade de apoio sobre pinos metálicos, pônticos (vários dentes ausentes) ou próteses sobre implantes. A zircônia oferece excelente resistência e estética natural, mesmo em situações de maior exigência funcional.


Naturalidade, resistência e estética!
Prótese em Zircônia!
Quando o protocolo de zircônia é indicado?
Diferente da porcelana pura, a prótese em zircônia possui uma estrutura interna de reforço que evita fraturas e proporciona mais durabilidade. Além disso, sua cor translúcida elimina o acinzentamento das gengivas e garante um resultado harmônico e natural, unindo tecnologia, conforto e beleza em um único tratamento.
Por que escolher a zircônia em vez da porcelana pura?













Benefícios das
Coroas & Onlays
Estética naturalidade impecável
Durabilidade e resistência
Biocompatibilidade com os tecidos bucais
Conforto e funcionalidade da mastigação

Onlays: Ideais para perdas parciais da estrutura dental, proporcionando restaurações precisas e resistentes.
Coroas de cerâmica: Recomendadas quando há uma perda extensa da estrutura dental, cobrindo totalmente o dente para restaurar sua forma e função.
Quando são indicadas?
Como funciona o procedimento?
O tratamento começa com a remoção da área danificada e a preparação do dente para receber a restauração. Em seguida, um molde digital ou físico é realizado para a confecção personalizada da peça em cerâmica. Durante essa fase, o paciente usa uma restauração provisória para manter conforto e proteção até a colocação da peça definitiva.




Resistência, durabilidade e estética!
Estou me sentindo ótima! Nem parece que fiz implante. To de repouso e tomando as medicações.
Edileide
★★★★★
Muito obrigada Dr. Djiham pelo seu trabalho. To voltando pra Nova Zelândia satisfeita!
Nem precisei de remédio pra dor. Não tá doendo nadinha. Mãos de anjo as suas!
★★★★★
★★★★★
Sheila
Mara
Dr. Djiham Fonseca
Odontologia Especializada
Um novo sorriso espera por você!
© 2025 Todos os direitos reservados.
