
Tratamento Integrado com Ortodontia
O tratamento ortodôntico vai muito além do alinhamento dos dentes. Em muitos casos, ele é essencial para otimizar resultados estéticos e funcionais, evitando os desgastes desnecessários e até criando espaços para a instalação de implantes dentários.
Clique e descubra a transformação perfeita para você!

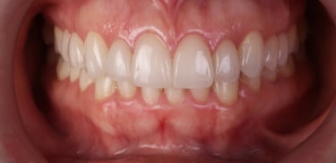
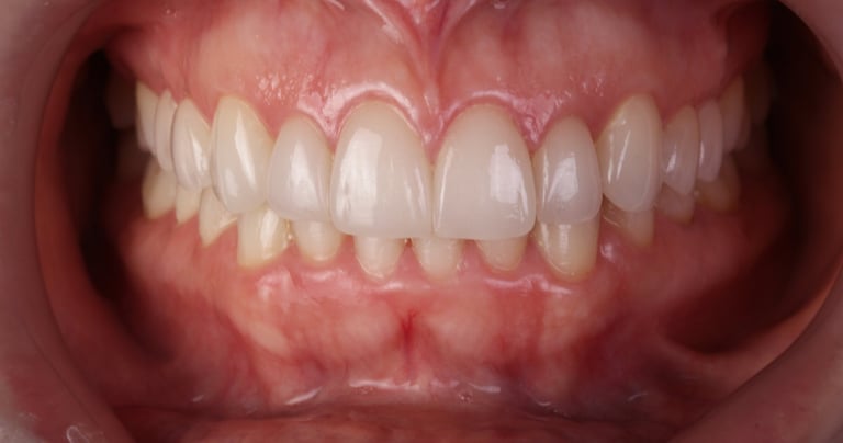
A Ortodontia é a área responsável pelo diagnóstico, prevenção e correção do alinhamento dos dentes e da mordida. O tratamento ortodôntico melhora tanto a estética do sorriso quanto a função mastigatória e a saúde bucal, prevenindo desgastes irregulares, dificuldades na fala e problemas na articulação.
Ortodontia
Sorriso alinhado com saúde em equilíbrio!

Dentes apinhados ou desalinhados
Dentes girados ou inclinados
Necessidade de correção antes de reabilitações
Melhor distribuição da mordida
Quando o tratamento é indicado?
Cada paciente recebe um planejamento individualizado, considerando a melhor abordagem para sua necessidade.
Entre as opções disponíveis, estão:
Aparelhos fixos: Tradicionais e eficazes para diversos tipos de correções.
Alinhadores invisíveis: Tecnologia moderna e discreta para quem busca conforto e praticidade.
Como é o tratamento?
Estou me sentindo ótima! Nem parece que fiz implante. To de repouso e tomando as medicações.
Edileide
★★★★★
Muito obrigada Dr. Djiham pelo seu trabalho. To voltando pra Nova Zelândia satisfeita!
Nem precisei de remédio pra dor. Não tá doendo nadinha. Mãos de anjo as suas!
★★★★★
★★★★★
Sheila
Mara
Dr. Djiham Fonseca
Odontologia Especializada
Um novo sorriso espera por você!
© 2025 Todos os direitos reservados.
