
Plástica Genvival
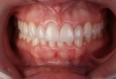
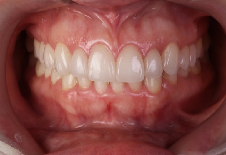
O equilíbrio entre dentes e gengivas é essencial para um sorriso bonito e natural. A Plástica Gengival é um procedimento que remodela o contorno da gengiva, corrigindo excessos ou irregularidades para uma estética mais harmoniosa.
Harmonize o seu sorriso!

O procedimento é realizado através de cirurgia periodontal. O procedimento é minimamente invasivo. O pós-operatório tende a ser tranquilo para o paciente, já que a intervenção costuma abranger apenas tecidos mais superficiais.
Como é o procedimento?

Esse procedimento é recomendado para casos de dentes curtos, assimetrias no contorno gengival (como variações entre dentes curtos e longos ou contornos irregulares) e recessões gengivais significativas, quando a raiz fica exposta. Seu objetivo é restaurar a harmonia do contorno gengival, essencial para realçar a beleza do sorriso.
Quando é indicada?
Estou me sentindo ótima! Nem parece que fiz implante. To de repouso e tomando as medicações.
Edileide
★★★★★
Muito obrigada Dr. Djiham pelo seu trabalho. To voltando pra Nova Zelândia satisfeita!
Nem precisei de remédio pra dor. Não tá doendo nadinha. Mãos de anjo as suas!
★★★★★
★★★★★
Sheila
Mara
Dr. Djiham Fonseca
Odontologia Especializada
Um novo sorriso espera por você!
© 2025 Todos os direitos reservados.
