
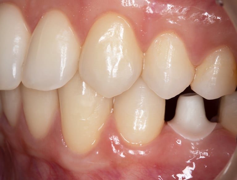
Implantes Dentários
A perda de um dente não precisa ser permanente. Com a implantodontia, restauramos sorrisos com segurança, conforto e resultados naturais. Utilizamos tecnologia avançada e materiais de alta qualidade garantindo resistência e um sorriso impecável.
Os implantes dentários são a solução mais moderna e eficaz para substituir dentes perdidos. Com técnicas inovadoras e planejamento digital, garantimos um tratamento seguro, minimamente invasivo e com máxima previsibilidade para um sorriso saudável e harmônico.
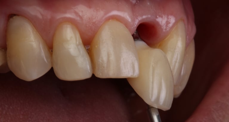
Precisão, Segurança e Conforto





Implante com precisão, conforto e tecnologia!
Utilizamos uma técnica avançada para a colocação de implantes com máxima precisão e segurança. Procedimento sem dor, sem corte e com laser. Proporciona mais conforto, garantindo resultados estéticos e funcionais excepcionais.


Cirurgia Guiada
Escaneamento Digital e Impressão 3D
Com o escaneamento digital, eliminamos moldagens tradicionais, garantindo maior precisão. Já a impressora 3D cria próteses e alinhadores personalizados com agilidade e excelência.



Implante com precisão, conforto e tecnologia!
Utilizamos uma técnica avançada para a colocação de implantes com máxima precisão e segurança. Procedimento com precisão, conforto e tecnologia. Proporciona mais segurança, garantindo resultados estéticos e funcionais excepcionais.


Implante com Cirurgia Guiada

Com tecnologia avançada e técnicas minimamente invasivas, aprimoramos a estética e a funcionalidade do seu sorriso, priorizando sempre seu conforto e bem-estar.
Cirurgias simples
Extrações dentárias
Enxertos ósseos
Dr. Djiham Fonseca
Odontologia Especializada
Um novo sorriso espera por você!
© 2025 Todos os direitos reservados.
